미란성 위염 원인 증상
- 암 건강
- 2021. 3. 16. 10:12
위염은 위 보호막에 염증이 생긴 것을 이야기합니다. 보통 급성 위염과 만성위염으로 이야기를 하며, 흔하지는 않지만 부식성 위염과 같은 미란성 위염은 많은 염증을 일으키지는 않지만 위벽에 궤양과 출혈을 유발할 수 있습니다. 아래 미란성 위염 원인 및 증상에 대해서 알아보도록 하겠습니다.

미란성 위염이란?
위염은 위내벽에 염증이 생길때 발생합니다. 보통 위내벽이 손상된 후에 발생하는데, 오래 지속되거나 재발하는 위염을 만성 위염이라고 이야기합니다.
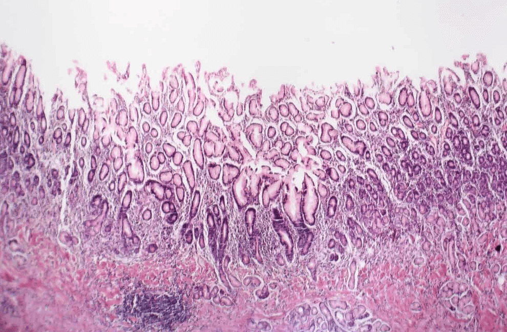
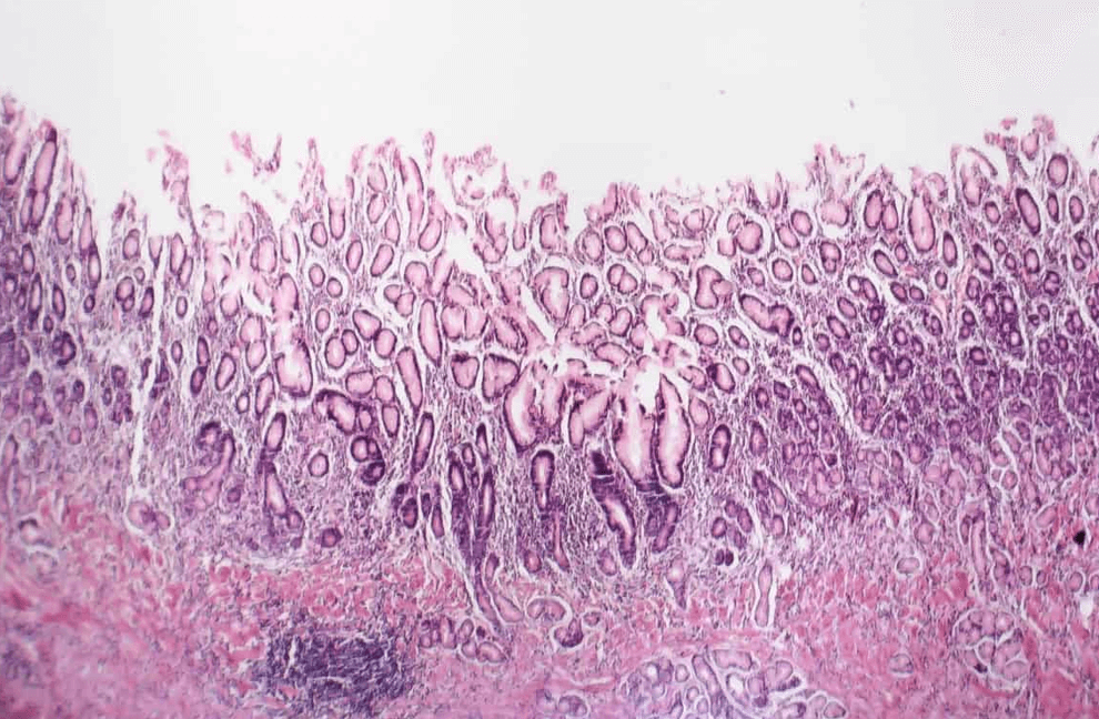
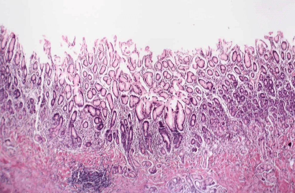
미란성 위염은 위 점막에 염증으로 인하여 손상이 지속적으로 반복되는 상태를 이야기하며, 위내시경 검사를 통해 확인할 수 있습니다. 미란성 위염을 방치하거나 치료시기를 놓칠 경우 증상이 악화되어 위궤양 또는 출혈로 진행될 수 있으니 아래와 같은 증상이 나타나면 병원에 가보시는 것도 중요합니다.

미란성 위염 증상
경미한 미란성 위염 환자는 타는듯한 통증, 소화 불량, 메스꺼움 또는 구토를 호소할 수 있으며, 그중 무증상을 나타내는 사람도 있습니다. 급성 스트레스 위염은 중증 환자의 약 5 % 에서 발생하며, 심한 궤양이 있는 경우 더욱더 심각해질 수 있습니다.
일반적으로 위염 증상과 비슷하며, 소화불량 및 속 쓰림이 자주 발생합니다. 또한 명치 부근 찌르는듯한 통증과 식사 후 복부 팽만감과 상복구 불쾌한 느낌을 받을 수 있습니다.

미란성 위염 원인
미란성 위염은 스트레스, 진통제, 스테로이드, 항생제, 음주, 카페인, 방사선, 담즙 역류, 중증 전신질환 등 다양한 원인으로 발생할 수 있습니다.
미란성 및 출혈성 위염의 위 병증의 내시경 소견은 점상 출혈에서 미란 및 궤양에 이르기까지 다양합니다. 출혈성 병변은 원인 인자에 따라 강도와 분포가 다를 수 있습니다. 침식 성 변화는 일반적으로 궤양 형성으로 진행될 수 있는 여러 침식에 의해 나타납니다.
미란성 위염은 비 스테로이드 성 항염증제 또는 알코올과 같은 국소 자극제에 노출되어 발생할 수 있습니다. 이 환자들은 흔히 상복부 통증 (비 궤양 성 소화 불량)을 겪고 메스꺼움과 구토를 겪을 수 있습니다.

미란성 위염 치료
미란성위염 증상이 경미한 경우 원인을 제거하고 일정기간 위산 작용을 억제하는 제산제 와같은 약물을 복용하며, 심한 경우 수액 및 수혈을 통해 출혈을 관리하고 내시경을 통해 지혈을 할 수 있습니다.
미란성 위염은 증상이 나타나지 않을 수도 있기 때문에 식습관을 안정적으로 지키는 게 중요합니다. 즉 맵고 짠 음식과 빠르게 먹기 과식 등 식습관을 고치고, 정기적인 검진을 통해 위상태를 확인 후 상태에 따라 억제재 및 처방전으로 치료를 할 수 있습니다.
미란성 위염의 가장 중요한 것은 재발하지 않도록 하기 위해 노력해야 합니다. 특히 스트레스 및 알코올과 같은 부과적인 물질들을 섭취하지 마세요. 위염이 위궤양이 되고 위궤양이 암이 됩니다. 건강할 때 건강을 지키는 것이 가장 중요하다 생각하며 이상으로 미란성 위염 원인 증상 포스팅을 줄입니다.
▣ 사람들이 많이본글
'암 건강' 카테고리의 다른 글
| 관절염 치료방법 총정리 (0) | 2021.03.24 |
|---|---|
| 겨드랑이 피지낭종 원인 수술 (0) | 2021.03.20 |
| 바른자세 교정밴드 종류 (0) | 2021.03.18 |
| 여자 왼쪽 가슴 통증 증상 원인 (1) | 2021.03.17 |
| 씨스팡 관절팔팔 가격 효능 부작용 (0) | 2021.03.09 |
| 인후염 증상 치료 방법 (0) | 2021.03.03 |
| 남자 오른쪽 골반 통증 원인 (0) | 2021.03.01 |
| 누우면 가슴이 답답 원인 호흡기 감염 (0) | 2021.02.23 |
이 글을 공유하기






